切换至 "中华医学电子期刊资源库"

中华肥胖与代谢病电子杂志 ›› 2018, Vol. 04 ›› Issue (03) : 177 -180. doi: 10.3877/cma.j.issn.2095-9605.2018.03.012

所属专题: 经典病例 文献

病例报告

代谢综合征合并肾多房囊性肾透明细胞癌1例
林基通1, 赖彩永1, 姜舒文2, 欧阳鹏1, 陈栋3,()   
  1. 1. 510630 广州,暨南大学附属第一医院泌尿外科
    2. 510630 广州,暨南大学附属第一医院胃肠外科
    3. 510630 广州,暨南大学附属第一医院新医科
  • 收稿日期:2018-05-20 出版日期:2018-08-30
  • 通信作者: 陈栋

One case of metabolic syndrome with multilocular renal clear-cell carcinoma

Jitong Lin1, Caiyong Lai1, Shuwen Jiang2   

  • Received:2018-05-20 Published:2018-08-30
引用本文:

林基通, 赖彩永, 姜舒文, 欧阳鹏, 陈栋. 代谢综合征合并肾多房囊性肾透明细胞癌1例[J/OL]. 中华肥胖与代谢病电子杂志, 2018, 04(03): 177-180.

Jitong Lin, Caiyong Lai, Shuwen Jiang. One case of metabolic syndrome with multilocular renal clear-cell carcinoma[J/OL]. Chinese Journal of Obesity and Metabolic Diseases(Electronic Edition), 2018, 04(03): 177-180.

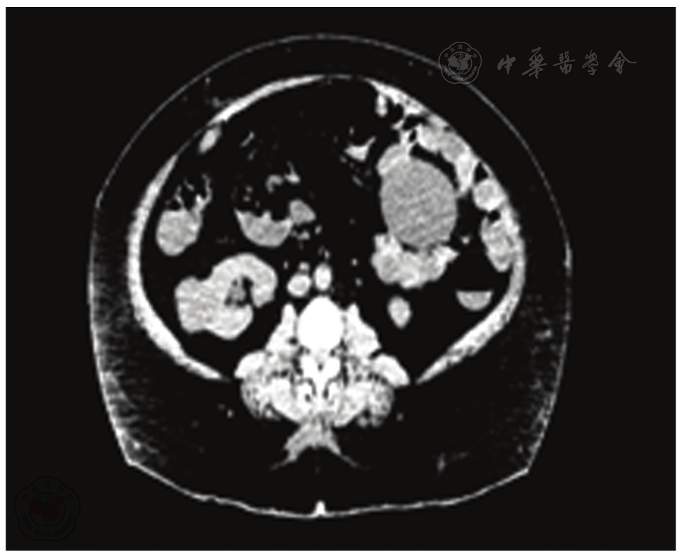
图1 2017年2月17日双肾CT
图2 2017年05月24日双肾CT
图3 术后病理报告(右肾)
图4 术后3月复查CT图像
[1]
Ljungberg B,Bensalah K,Canfield S, et al. EAU guidelines onrenal cell carcinoma: 2014 update[J]. Eur Urol, 2015,67(5):913-924.
[2]
Habib SL,Prihoda TJ,Luna M, et al. Diabetes and risk of renal cell carcinoma[J]. J Cancer,2012(3):42-48.
[3]
ZHU Y,WANG H K,ZHANG H L, et al. Visceral obesity and risk of high grade disease in clinical t1a renal cell carcinoma[J]. J Urol, 2013, 189(2):447-453.
[4]
杜依青, 刘慧鑫, 刘春雷, 等. 代谢相关因素与肾细胞癌分级、分期的相关研究[J]. 北京大学学报(医学版), 2016, 48(4):612-617.
[5]
Wang H,Song X,Cheng Y, et al. Visceral fat accumulation is associated with different pathological subtypes of renal cell carcinoma (RCC): a multicentre study in China[J]. Bju International, 2014, 114(4):496-502.
[6]
Haggstrom C,Rapp K,Stocks T, et al. Metabolic factors associa-ted with risk of renal cell carcinoma[J]. PLo S One, 2013,8(2):e57475.
[7]
赵丹鹤, 朱蒙蒙, 叶洪娟, 等. 肥胖相关因素与肿瘤相关性研究进展[J]. 肿瘤研究与临床, 2016, 28(6):426-429.
[8]
Liao LM,Weinstein SJ,Pollak M, et al. Pre-diagnostic Circulating Adipokine Concentrations and Risk of Renal Cell Carcinoma[J]. 2012, 34(1):109-112.
[9]
Li L,Gao Y,Zhang L L, et al. Concomitant activation of the JAK/STAT3 and ERK1/2 signaling is involved in leptin-mediated proliferation of renal cell carcinoma Caki-2 cells[J]. Cancer Biology & Therapy, 2008, 7(11):1787-1792.
[10]
Wang H,Wu J,Gu W, et al. Serum Adiponectin Level May be an Independent Predictor of Clear Cell Renal Cell Carcinoma[J]. Journal of Cancer, 2016, 7(10):1340-1346.
[11]
黄生建, 彭琳, 陆文玲, 等. 肥胖与脂肪组织巨噬细胞的研究进展[J]. 现代生物医学进展, 2016, 16(12):2355-2358.
[12]
Koskinen J,Magnussen CG,Sabin MA, et al. Youth overweight and metabolic disturbances in predicting carotid intima-media thickness, type 2 diabetes, and metabolic syndrome in adulthood: the Cardiovascular Risk in Young Finns study[J]. Diabetes Care, 2014, 37(7):1870-1877.
[13]
吴文君, 朱大龙. 糖尿病与癌症相关联的机制研究[J]. 中国肿瘤临床, 2013(11):682-684.
[14]
McGuire BB,Fitzpatrick JM. BMI and the risk of renal cell carcinoma[J]. Current Opinion in Urology, 2011, 21(5):356-361.
[15]
Eskicorapci SY,Teber D,Schulze M, et al. Laparoscopic radical nephrectomy: the new gold standard surgical treatment for localized renal cell carcinoma[J]. Scientific World Journal, 2007, 9(7):825-836.
[16]
Gabr AH,Elsayed ER,Gdor Y, et al. Obesity and morbid obesity are associated with a greater conversion rate to open surgery for standard but not hand assisted laparoscopic radical nephrectomy.[J]. Journal of Urology, 2008, 180(6):2357-2362.
[17]
Kurzer E,Leveillee R,Bird V. Obesity as a risk factor for complications during laparoscopic surgery for renal cancer: multivariate analysis[J]. Journal of Endourology, 2006, 20(10):794-799.
[1] 向韵, 卢游, 杨凡. 全氟及多氟烷基化合物暴露与儿童肥胖症相关性研究现状[J/OL]. 中华妇幼临床医学杂志(电子版), 2024, 20(05): 569-574.
[2] 赵丽霞, 王春霞, 陈一锋, 胡东平, 张维胜, 王涛, 张洪来. 内脏型肥胖对腹腔镜直肠癌根治术后早期并发症的影响[J/OL]. 中华普外科手术学杂志(电子版), 2025, 19(01): 35-39.
[3] 孟令凯, 李大勇, 王宁, 王桂明, 张炳南, 李若彤, 潘立峰. 袖状胃切除术对肥胖伴2型糖尿病大鼠的作用及机制研究[J/OL]. 中华普外科手术学杂志(电子版), 2024, 18(06): 638-642.
[4] 李猛, 姜腊, 董磊, 吴情, 贾犇黎. 腹腔镜胃袖状切除术治疗肥胖合并2型糖尿病及脂肪胰的临床研究[J/OL]. 中华普外科手术学杂志(电子版), 2024, 18(05): 554-557.
[5] 熊鹰, 林敬莱, 白奇, 郭剑明, 王烁. 肾癌自动化病理诊断:AI离临床还有多远?[J/OL]. 中华腔镜泌尿外科杂志(电子版), 2024, 18(06): 535-540.
[6] 玉素江·图荪托合提, 韩琦, 麦麦提艾力·麦麦提明, 黄旭东, 王浩, 克力木·阿不都热依木, 艾克拜尔·艾力. 腹腔镜袖状胃切除或联合食管裂孔疝修补术对肥胖症合并胃食管反流病的中期疗效分析[J/OL]. 中华疝和腹壁外科杂志(电子版), 2024, 18(05): 501-506.
[7] 刘见, 杨晓波, 何均健, 等. 应用电钩三孔法腹腔镜袖状胃切除术[J/OL]. 中华腔镜外科杂志(电子版), 2024, 17(06): 363-364.
[8] 谢浩文, 丁建英, 刘小霞, 冯毅, 姚婧. 椎旁神经阻滞对微创胃切除肥胖患者术中血流、术后应激及康复质量的影响[J/OL]. 中华消化病与影像杂志(电子版), 2024, 14(06): 569-573.
[9] 王星, 陈园, 热孜万古丽·乌斯曼, 郭艳英. T2DM、Obesity、NASH、PCOS共同致病因素相关的分子机制[J/OL]. 中华临床医师杂志(电子版), 2024, 18(05): 481-490.
[10] 中国医师协会外科医师分会肥胖代谢病综合管理与护理专家工作组, 中国医师协会外科医师分会肥胖和代谢病外科专家工作组, 中国肥胖代谢外科研究协作组. 肥胖代谢外科医学科普中国专家共识(2024 版)[J/OL]. 中华肥胖与代谢病电子杂志, 2024, 10(04): 227-234.
[11] 向林, 江云颂, 程吕佳, 关炳生, 杨景哥. 生长素释放肽在肥胖治疗中的潜在应用价值研究进展[J/OL]. 中华肥胖与代谢病电子杂志, 2024, 10(04): 235-241.
[12] 王鹏鹏, 周涵苓, 孟化, 刘宝胤. 减重手术后皮肤松弛的塑形手术现状与展望[J/OL]. 中华肥胖与代谢病电子杂志, 2024, 10(04): 248-254.
[13] 张鑫, 刘志芬, 郭云童. 肥胖与抑郁症相关性的研究进展[J/OL]. 中华肥胖与代谢病电子杂志, 2024, 10(04): 255-260.
[14] 王超珺, 刘昭晖. 肌肉减少型肥胖的诊疗进展[J/OL]. 中华肥胖与代谢病电子杂志, 2024, 10(04): 269-275.
[15] 张杨杨, 项楚淇, 朱满生. 肌少性肥胖与非酒精性脂肪性肝病间的关系以及研究进展[J/OL]. 中华肥胖与代谢病电子杂志, 2024, 10(04): 276-282.
阅读次数
全文


摘要


AI


AI小编
你好!我是《中华医学电子期刊资源库》AI小编,有什么可以帮您的吗?